Zahnheilkunde
Neben Zahnbehandlungen wie Zahnsteinentfernung mittels Ultraschall und Zahnextraktionen werden in unserer Praxis auch Zahnfüllungen und –aufbauten durchgeführt. Auch kieferorthopädische Behandlungen, wie z. B. das Einsetzen einer Zahnspange oder die Anwendung von Brekkets zur Therapie von Kieferfehlstellungen werden vorgenommen. Desweiteren nehmen wir zahn- und kieferchirurgische Eingriffe wie Zahnfleischrekonstruktionen zum Verschluss von Gaumenspalten oder die chirurgische Versorgung von Frakturen vor.
- Zahnsteinentfernung, Zahnsanierung
- Zahnröntgen
- Zahnfrakturen, Zahnfüllungen, Kieferchirurgische Eingriffe, z. B. nach Unfällen
- Korrektur von Fehlstellungen (bei medizinischer Indikation)
- FORL-Behandlung, Stomatitistherapie
Hunde und Katzen sind auf ein gesundes und funktionsfähiges Gebiss angewiesen. Zahnveränderungen (Löcher, Wurzelvereiterungen, lockere Zähne) sind häufig mit starken Schmerzen verbunden, auch wenn die Patienten diese meist nicht deutlich zeigen. Zudem ist die ständige Bakterienbelastung von Zahnbelag ein erhebliches Risiko für die Gesundheit der Organe des Körpers (z. Bsp. Herz- und Nierenschäden). Häufig tritt erst nach Entfernung der Beläge das volle Ausmaß der Schäden zu Tage. Deshalb versorgen wir auch ältere und sehr alte Tiere wenn Zahnveränderungen Schmerzen und Leiden verursachen mit einem sorgfältig abgestimmtem Narkosemanagement- und überwachung.
Zahnsteinentfernung und Zahnsanierung
Zahnstein entsteht da Hunde ein Scherengebiss besitzen und Katzen sogenannte Beuteschlinger sind, die kaum kauen. Weicher Plaque wird also schlecht entfernt. Helfen sie ihrem Tier und gewöhnen sie es frühzeitig ans Zähneputzen. Eine Zahnsteinentfernung wird bei Hund und Katze generell in leichter Narkose durchgeführt. Häufig tritt erst nach Entfernung der Beläge das volle Ausmaß der Schäden zu Tage.
![]() |
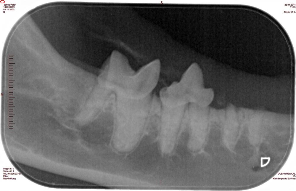
Dentalröntgen
Um Wurzelläsionen, Kiefervereiterungen und die Vitalität einzelner Zähne beurteilen zu können, ist es manchmal nötig, mit hochauflösenden Zahnfolien strahlungsarme Röntgenaufnahmen der zu beurteilenden Kieferbereiche zu machen. So können gesund wirkende, aber wurzelkranke Zähne identifiziert und behandelt werden. Aber auch überflüssige Zahnextraktionen bei Schmelzdefekten oder Verfärbungen ohne Wurzelschaden können vermieden werden.
Die Therapie von Zahnproblemen wird immer individuell auf das Hauptproblem Ihres Lieblings zugeschnitten und mit größter Sorgfalt durchgeführt.
![]() |
![]() |
Zahnfrakturen, Zahnfüllungen, Korrektur von Fehlstellungen (Brekkets)
Insbesondere bei Rasse- und Zuchtieren aber auch bei Nutz- und Jagdhunden wird auf die Vollständigkeit und die perfekte Zahnstellung des Gebisses großen Wert gelegt. Deshalb besteht bei uns die Möglichkeit zur Korrektur von Zahnfehlstellungen und zahnerhaltenden Füllungen.
FORL-Behandlung, Stomatitistherapie
Katzen leiden besonders häufig -stumm- an schlechten Zähnen und stark entzündeten Maulschleimhäuten. Solche Veränderungen führen trotz dem Fehlen offensichtlicher Symptome zur Einschränkung der Lebensqualität und sollte behandelt werden. Die Therapie von Zahnproblemen wird immer individuell auf das Hauptproblem ihres Lieblings zugeschnitten und mit größter Sorgfalt durchgeführt.



