Innere Medizin
- Endokrinologie
- Lungenerkrankungen
- Magen-Darm-Erkrankungen
- Pankreas (Bauchspeicheldrüse)
- Leber
- Niere u. Harnableitendes System
- Schilddrüse
- Knochenmark, Blutbildung
- Gynäkologie / Andrologie, Urologie
Endokrinologie
Die Symptome von Störungen des Hormonhaushaltes äußern sich meist schleichend und sind deshalb für den Besitzer nicht oder erst spät auffällig, belasten aber die Organe und Körperfunktionen des betroffenen Patienten schwer. Vermehrtes Trinken, gesteigerte Appetit, Unruhe oder Abgeschlagenheit, Veränderungen der Haut und Fellverlust können Anzeichen für hormonelle Dysfunktionen wie z.B. Cushing, Addison, Schilddrüsenunter oder –überfunktion, Diabetes mellitus etc. sein. Da die Symptome den einzelnen Erkrankungen häufig nicht rein klinisch zugeordnet werden können sollten Blutuntersuchungen und Funktionstests durchgeführt werden um eine exakte Diagnose zu stellen und den Hormonhaushalt der Patienten wieder zu korrigieren.
![]() |
![]() |
Erkrankungen der Nebennieren
Die Nebennieren sind kleine aber wichtige hormonproduzierende Organe neben den Nieren. Entgegen ihres Namens haben sie mit der harnproduzierenden Funktion der Nieren nichts zutun. Sie sind für die Produktion von Glukokortikoiden, Mineralokortikoiden und Geschlechtshormonen zuständig. Diese Hormone ermöglichen dem Körper eine adäquate Reaktion auf Streß und beeinflußen zahlreiche Stoffwechselfunktionen. Sowohl eine Unterfunktion (Addison) als auch eine Überfunktion (Cushing) führen beim Hund zu schweren körperlichen Einschränkungen.
Ältere Katzen leiden manchmal am sogenannten Coon-Syndrom, einem Nebennierentumor der zu Bluthochdruck und lebensgefährlichem Kaliumverlust führt.
![]() |
![]() |
Lungenerkrankungen
Erkrankungen der Lunge und der oberen Atemwege können verschiedene Ursachen haben. Deshalb bemühen wir uns stets eine Diagnose zu stellen, die eine exakte Therapie ermöglicht. Neben Röntgen und Endoskopie helfen uns zum Auffinden von Infektionen, Allergien, Asthma, Ergüssen oder Tumoren auch labordiagnostische Untersuchungen wie die Blutgasanalyse oder die parasitologische Untersuchung, beispielsweise auf Lungen- oder Herzwürmer.
![]() |
![]() |
Magen-Darm-Erkrankungen
Erbrechen und Durchfall können Ausdruck einfacher Wehwehchen sein. Bei empfindlichen Tieren reicht die Aufnahme von Schnee oder einem Stück Sonntagsbraten aus um den Magen-Darm-Trakt aus dem „Tritt“ zu bringen. Manchmal handelt es sich aber auch um Anzeichen schwerer Erkrankungen. Kleine Wehwehchen können getrost symptomatisch behandelt werden. Große Probleme wie Futtermittelunverträglichkeit, Protein Loosing Enteropathie, Inflammatory Bowle Disease (IBD) chronische Parasitosen oder neoplastische Geschehen müssen mittels Röntgen, Ultraschall, Endoskopie bzw. Labordiagnostik aufgearbeitet werden. Viele dieser Patienten und somit auch deren Besitzer, haben einen langen Leidensweg hinter sich, bis eine optimale individuelle Fütterung und medikamentelle bzw. chirurgische Therapie gefunden ist.
![]() |
Pankreas
Das Pankreas ist ein Organ, das sowohl für Verdauungsvorgänge zuständig ist, als auch für hormonelle Regulationen bspw. den Glucosestoffwechsel. Im Entzündungsfall treten meist starke Schmerzen im Oberbauch auf. Leider leiden Katzen meist stumm an solchen Pankreatitiden. Ist die Bauchspeicheldrüse entzündet, werden Gallenblase, Leber und Darm meist in Mitleidenschaft gezogen oder es treten Stoffwechselstörungen wie Diabetes mellitus auf.
![]() |
Die Unterfunktion der Bauchspeicheldrüse führt zu massiven Störungen der Nährstoffverdauung. Hiervon häufig betroffen sind Schäferhunde und Westhighlandwhite- Terrier. Die diagnostischen Möglichkeiten für solche Erkrankungen und somit auch die Prognose für pankreas-erkrankte Patienten haben sich zum Glück dank sensitiver Blutparameter (fPLI, cPLI, Fruktosamin, TLI) und immer besser werdender Ultraschallgeräte sehr verbessert.
Leber
Lebererkrankungen können primär im Sinne von Infektionen, Entzündungen oder Mißbildungen (portosystemischer Shunt) aber auch sekundär (die Leber kann ihre Funktion auf Grund anderer Erkrankungen nicht mehr adäquat erfüllen) auftreten Da das Lebergewebe eine Vielzahl von Aufgaben übernimmt, entstehen nicht nur Störungen bei der Entgiftung des Körpers sondern auch Probleme bei der Gerinnung, der Blutprotein- und Immunglobulinsynthese. Wie auch beim Funktionsverlust der Nieren vergiftet sich der Körper mit seinen Abfallprodukten selbst und es kommt zu schweren Störungen des Allgemeinbefindens bis hin zu Koma und Tod.
![]() |
![]() |
Die Durchführung von labordiagnostischen Untersuchungen und Leberfunktionstests liefert meist wertvolle Hinweise auf eine Beteiligung der Leber. Weitere Abklärung ermöglicht die sonografische Beurteilung des Lebergewebes und ggf. eine Biopsie oder Gallenblasenpunktion.
Niere und Harnableitendes System
Akute- und chronische Erkrankungen der Blase- und der Niere werden nicht selten unterschätzt. Einen Funktionsverlust der Nieren kann man im Akutfall nur mit sofortiger intensiver Therapie beheben und den chronischen Funktionsverlust nur Aufhalten jedoch selten noch ausheilen. Harnstoff und Kreatinin sind Funktionsparameter der Niere die erst verändert sind, wenn 80% des Nierengewebes bereits funktionslos geworden sind. Frühere Marker sind der SDMA-Marker und die UPC.
![]() |
![]() |
Schilddrüse
Hunde leiden häufig an einer Schilddrüsenunterfunktion. Die Schilddrüsenhormone sind aber auch vermindert, wenn der Körper mit einer anderen Erkrankung zu kämpfen hat. Deshalb sollte immer klar sein ob erniedrigte Schilddrüsenhormone die Ursache oder die Folge klinischer Symptome sind.
![]() |
Katzen leiden häufiger unter einer Schilddrüsenüberfunktion. Diese ist für den Patienten sehr gefährlich, weil die Begleiterscheinungen wie CNI (chronische Niereninsuffizien), Bluthochdruck, Kardiomyopathien (Herzleiden) und Thrombembolien meist erst augenscheinlich werden, wenn es schon (fast) zu spät i st. Sollte ihre ältere Katze trotz bestem Appetit und Trinkverhalten stetig Gewicht verlieren, muss u.a. an eine Hyperthyreose gedacht werden.
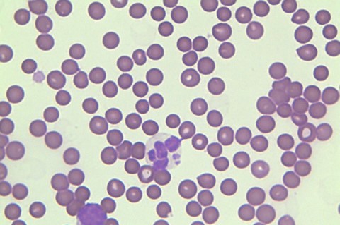
Knochenmark, Blutbildung
Die meisten Erkrankungen des Blutes oder des Knochenmarkes bedürfen umfassender Diagnostik und Therapie, da das Fehlen von Blutbestandteilen schnell zu lebensbedrohlichen Zuständen führt. Die verminderte Bildung oder vermehrte Zerstörung von Erythrozyten, Leukozyten oder Thrombozyten kann viele Ursachen haben. Hierzu zählen Infektionen (Babesien, Anaplasmen, Herzwürmer), Tumore (Lymphome) aber auch autoimmune Vorgänge die es aufzuhalten gilt.
![]() |
![]() |
Auch im Zuge von generalisierten schweren Erkrankungen kann es plötzlich zur Zerstörung von Blutbestandteilen und zu Gerinnungsstörungen kommen (DIC). Neben der Durchführung von Knochenmarksbiopsie haben wir auch die Möglichkeit Gerinnungsstörungen zu diagnostizieren und Bluttransfusionen durchzuführen.
















