Bildgebende Diagnostik
- Digitales Röntgen
- Sonografie (Ultraschall)
- Echokardiografie (Herzultraschall)
- Endoskopie
Eine Vielzahl von Erkrankungen könnte ohne bildgebende Verfahren wie Röntgen und Ultraschall nicht diagnostiziert werden und sind aus der Tiermedizin nicht mehr wegzudenken. Jedes Verfahren hat sowohl Schwächen als auch Stärken, sodass der Einsatz des jeweiligen Verfahrens an die klinische Fragestellung angepasst sein muss. In vielen Fällen müssen beide Untersuchungsmedien auch kombiniert angewendet werden. Weiterhin führen wir in unserer Praxis endoskopische Diagnostik und Operationen durch. Für Fragestellung, die eine Untersuchung im CT oder MRT benötigen, arbeiten wir eng mit entsprechenden Fachkliniken zusammen.
![]() |
![]() |
![]() |
Computertomographie (CT)
Seit diesem Jahr (2022) sind auch computertomographische Unetrsuchungen bei uns möglich.
Die Computertomografie zählt zu den nicht invasiven bildgebenden röntgendiagnostischen Verfahren. Die zu untersuchende Körperregion wird Schicht für Schicht mithilfe einer schnell rotierenden Röntgenröhre dargestellt. Dabei wird die Abschwächung der Röntgenstrahlen beim Durchtritt durch die Körperregion gemessen und daraus entsteht ein ausführliches Bild des zu untersuchenden Körperabschnittes.
![]() |
Digitales Röntgen
Unser hochauflösendes, feinzeichnendes digitales Röntgen ermöglicht strahlungsarme Aufnahmen höchster Qualität bei minimaler Strahlungsbelastung für den Patienten. Die nachträgliche elektronische Bearbeitungsoption dient der Visualisierung feinster Veränderungen und beschränkt so die Anzahl der Röntgenaufnahmen auf ein Minimum. Wir sind eine vom VDH zugelassene Röntgenstelle für Zuchtuntersuchungen, wie z. Bsp. HD-, ED- oder OCD-Röntgen.
![]() |
![]() |
![]() |
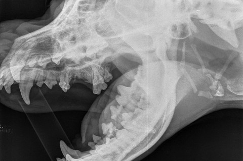
Dentalröntgen
Um Wurzelläsionen, Kiefervereiterungen und die Vitalität einzelner Zähne beurteilen zu können, ist es manchmal nötig, mit hochauflösenden Zahnfolien strahlungsarme Röntgenaufnahmen der zu beurteilenden Kieferbereiche zu machen. So können gesund wirkende, aber wurzelkranke Zähne identifiziert und behandelt werden. Aber auch überflüssige Zahnextraktionen bei Schmelzdefekten oder Verfärbungen ohne Wurzelschaden können vermieden werden.
» Mehr Informationen
![]() |
![]() |
![]() |
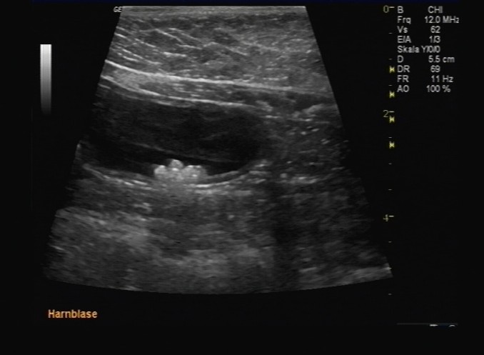
Sonografie
Für viele Fragestellungen der inneren Medizin benötigt man eine Ultraschalluntersuchung. Ob Trächtigkeitsuntersuchung, Tumorsuche, Herzbeutelerguss-Punktion, Schilddrüsenbeurteilung, Augenuntersuchung beim grünen Star ... die Sonografie liefert uns in nahezu jede Körperregion einen Einblick. Ausgenommen sind Lunge, Mediastinum und Beckenhöhle da Luft und Knochen die Schallausbreitung behindern. Die Qualität der Untersuchung hängt vor allem von den verfügbaren Sonden ab. Unser Phillips Affinity-Ultraschallgerät ist für den Bauchultraschall mit zwei Schallköpfen unterschiedlicher Eindringtiefe ausgestattet und ermöglicht uns die Untersuchung kleinster Tiere und feinster Strukturen aber auch die von sehr großen und schweren Patienten. Mehr als 20 Programme zur Feinjustierung sorgen für den „optimalen Durchblick“ bei jedem Patienten. Wir führen unsere sonografischen Untersuchungen stets ruhig und stressarm durch und benötigen nur in Ausnahmefällen eine Sedierung. Nur ein wenig Geduld müssen unsere Patienten mitbringen, denn ein guter Ultraschall braucht Zeit.
Bitte beachten sie, dass ihr Tier für die Untersuchung möglichst nüchtern sein sollte!!
![]() |
![]() |
![]() |
Echokardiografie (Herz-Ultraschall)
Die Echokardiografie ist eine Ultraschalluntersuchung des Herzens. Sie ermöglicht eine bildliche Darstellung des Herzinneren, der Herzmuskeldicke und ist die einzige Untersuchungsmethode, in der die Herzaktionen, d. h. die Pumpfunktion von Herzkammern und -vorhöfen und die Funktion der Herzklappen beurteilt werden kann. Auch anatomische Anomalien (Persist. Ductus Arteriosus, Ventrikelseptumdefekt, Aortenstenose), Verwirbelungen des Blutes, Thromben, Tumore oder Herzbeutelergüsse werden hiermit diagnostiziert.
Die Bildqualität und damit die Qualität der Untersuchung ist stark abhängig von der Ausstattung des Ultraschallgerätes und der verfügbaren Sonden. Mit unserem Ultraschall-Doppler „Philips Affinity“ steht uns ein modernstes und hochwertiges High-End-Ultraschallgerät der neuesten Generation zur Verfügung. Wir verwenden für Hunde und Katzen unterschiedliche hochauflösende Ultraschallsonden um beste Bildqualität zu gewährleisten.
» Mehr Informationen
![]() |
![]() |
Endoskopie (Gastroskopie, Koloskopie, Bronchoskopie ...)
Für einige Erkrankungen des Magen-Darm-Traktes - Magenulcera, Tumoren oder autoimmunen Darmerkrankungen, wie bspw. der IBD - benötigt man oft einen Eindruck vom Inneren des Verdauungstraktes. Mittels eines langen flexiblen Endoskops ist es möglich Magen-Darm-Spiegelungen vorzunehmen und auch kleinste Veränderungen im Inneren frühzeitig und vollständig sichtbar zu machen, welche selbst bei der Probelaparotomie, sprich der Eröffnung der Bauchhöhle und der Untersuchung des Darmes unentdeckt bleiben könnten. Ebenso können Biopsien (Gewebeproben) entnommen werden, ohne eine große, aufwendige und den Patienten deutlich mehr belastende Operation. Gleiches gilt für die gern verschluckten Gegenstände, welche schonend mittels Fasszange wieder aus dem Magen, der Speiseröhre oder schlimmer noch aus der Luftröhre entfernt werden können.
![]() |
Ein kleines starres Endoskop hilft beim Verdacht auf Hals-Nasen-Ohren-Erkrankungen. Hiermit können Veränderungen im Nasen-Rachen-Raum z. Bsp.: ein zu langes Gaumensegeln, Grashalme in einer Katzennase, aber auch Tumore oder Entzündungen sichtbar gemacht werden. Auch eine eingehende Ohr- und Trommelfelluntersuchung und sichtgestützte Punktion sind möglich.
Ebenso dient diese Methode zur Untersuchung der Luftröhre und der Bronchien, hierbei können sowohl Eindrücke über das Ausmaß und die Pathogenese der Erkrankung gewonnen werden als auch Zellproben mittels Spülung (BAL) entnommen werden, welche weitere Rückschlüsse auf die Ursache der Veränderung geben und damit eine zielgerichtete Therapie ermöglichen.
















